Современный метод реконструкции молочной железы лоскутом на перфоранте глубокой нижней эпигастральной артерии (DIEP flap).
Слесаренко С.В1,3., Бадюл П.А1,2., Жигулин А.В4., Пробачай В.И5, Чередниченко Н.А2.
1Центр термической травмы и пластической хирургии. Днепр.
2Днепропетровская государственная медицинская академия.
3Днепропетровский медицинский институт ТНМ.
4Больница израильской онкологии «LISOD».
5МЦ «Клиника семейной медицины».
Вступление
Ежегодно в Украине регистрируют более 16 тысяч новых случаев опухолевых злокачествееных заболеваний молочной железы (МЖ) у женщин, которые по заболеваемости и смертности в структуре онкологической патологии у женщин занимают первое место [25]. Эта медицинская проблема всегда требовала поиска методов эффективного решения [21]. Еще в 1889 году W. Halsted предложил радикальную мастэктомию как способ хирургического контроля над фатальным развитием заболевания. Однако и она не стала радикальным решением проблемы – не смотря на расширенные, травматичные и, часто, калечащие операции. Рецидивы опухоли у пациенток продолжали возникать [26,27]. Это привело к поиску и бурному развитию органосохраняющих методик хирургического лечения рака молочной железы (РМЖ). Однако и сегодня мастэктомия остается важным инструментом лечения пациенток с РМЖ, поскольку не всегда возможно сохранить железу в связи с распространением опухоли по органу. Выполнение операции в «классическоком» ее варианте – с удалением кожи и обширной лимфаденэктомией, в абсолютном количестве случаев, не улучшает онкологические результаты. В то же время этот вид операции приводит к «…драматическим изменениям внешнего облика, образа жизни и степени самооценки женщины». [3,21]. Этот факт явился важным стимулятором, во-первых, для развития методов реконструкции молочной железы, а, во-вторых, измененило технику выполнения самой мастэктомии. Возникло понятие «консервативной мастэктомии», предложенное M. Nava и U.Veronesi [28,29. ], когда при выполнении операции удаляется только паренхима железы с сохранением сосково-ареолярного комплекса (САК) и перфорантных сосудов, питающих эти структуры . Такой подход позволяет безопасно оставлять и эффективно использовать эстетически и функционально значимые структуры для восстановления молочной железы, заменяя паренхиму либо имплантами, либо собственными тканями. Cronin Т. и Gerow F. впервые использовали эндопротезы, заполненные силиконовым гелем для отсроченной реконструкции груди [12]. Radovan С. Предложил использование тканевых экспандеров, что значительно расширило возможности в реконструкции МЖ [22]. Однако использование искусственных материалов для реконструкции молочной железы привело к возникновению ряда проблем, основной из которых стала биологическая реакция организма пациентки на инородное тело, что чаще всего проявляется капсулярной контрактурой. Развитие такой патологии довольно часто приводит к ухудшению функциональных и эстетических результатов операций, особенно на фоне лучевой терапии, и повышает уровень ревизионных операций [30]. Применение же аутологичных тканей, при правильном выполнении операции, дает пациентке значительно лучшие функциональные результаты [31,32]. Были описаны и используются методики пересадки свободных лоскутов на базе перфорантов поверхностной ягодичной и глубокой нижней эпигастральной артерии как альтернативы TRAM-лоскуту [6,10, 18]. Они безусловно сложнее технически, но имеют ряд преимуществ перед TRAM-лоскутом. К сожалению метод реконструкции МЖ свободным DIEP-лоскутом пока еще не нашел должного распространения в нашей стране, хирургами выполняются единичные случаи таких оперативных вмешательств. Поэтому публикация методики выполнения процедуры реконструкции и иллюстрированное описание опыта работы авторов с перфорантным лоскутом глубокой нижней эпигастральной артерии для восстановления МЖ в серии из 5 случаев будет полезна читателям журнала.
Цель. Повысить эффективность реконструкции МЖ после радикальной мастэктомии путем имплементации современных методов с микрохирургической техникой.
Материалы и методы: Мы представляем наш первый опыт отсроченных реконструкций у 5 пациенток в возрасте от 31 до 56 лет, перенесших ранее одностороннюю мастэктомию. В период с 2014 по 2017 г. им были выполнены операции с применением перфорантного лоскута на глубокой нижней эпигастральной артерии (DIEP flap). После приживления свободных лоскутов в реципиентной зоне (Рис.1), в отсроченном периоде проводились этапные операции по формированию САК, корригирующие и симметризирующие маммопластики.

Рис. 1. Схема формировании свободного DIEP-лоскута в нижней части брюшной стенки и его переноса в область реконструкции МЖ с включением в кровоток посредством наложения микрососудистых анастомозов с внутренней грудной артерией и комитантной веной, после их обнажения и резекции медиальной части IV ребра.
При подготовке к операции с целью определения позиции доминирующего перфорантного сосуда в тканях брюшной стенки применялись ультразвуковой аудио-допплер «Минидоп» с датчиком 8MHz (УЗ-АД) и компьютерная томография (КТ) с ангиографией на мультисрезовом компьютерном томографе Toshiba Aquilion (128 срезов) с использованием контраста «Ультравист». Полученные КТ-ангиограммы обрабатывали в программе ”OsiriX MD” с 3D моделированием для пространственного определения позиции перфорантов в мягких тканях [7,19]. Допплер и КТ-ангиография позволяют нам обнаружить функционально значимые перфоранты, лоцировать их точное расположение (Рис.2 и 3). Обработка полученной КТ-ангиограммы в программе ”OsiriX MD” с 3D моделированием позволяет выделить доминантные перфоранты и определить их позицию в мягких тканях, что значительно облегчает диссекцию интраоперационно (Рис. 4). Динамическая термография зоны формирования лоскута проводилось в комнате с температурой от 20°C до 25°C, с помощью инфракрасной камеры (Dali TE-W2) [2,4]. ). Динамическая термография помогает определить наиболее надежные в плане кровоснабжения зоны планируемого лоскута, функциональное состояние анастомозов между перфорасомами на уровне подкожного сосудистого сплетения. Цифровое фото пациенток до операции, интраоперационно и после операции выполнялось камерой Sony α6000.

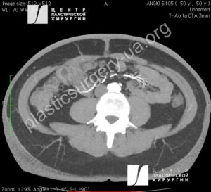
Рис. 2. КТ ангиография выполнена с целью предоперационного планирования реконструкции МЖ перфорантным DIEP лоскутом. Сагитальный срез (слева),
Рис. 3. КТ ангиография выполнена с целью предоперационного планирования реконструкции МЖ перфорантным DIEP лоскутом. Поперечный срез (справа). На обеих снимках визуализируются функционально значимые параумбиликальные перфоранты.

Рис. 4. Предоперационная 3D визуализация сосудов в донорской зоне позволяет выделить доминантные перфоранты и определить их позицию в мягких тканях. На снимке визуализируется тень пупка и параумбиликантные перфоранты глубокой нижней эпигастральной артерии, прободающие прямую мышцу брюшной стенки.
Разметка лоскута производилась в положении пациентки стоя и лежа на операционном столе. На передней брюшной стенке маркировался веретенообразной формы кожный остров, основная часть лоскута центрировалась над выбранным перфорантом (Рис. 5). Обычно DIEP-лоскут имеет высоту 12-15 см и ширину 30-45 см. Однако следует оценить натяжение донорского участка после закрытия, поскольку это, в конечном счете, является главным ограничением размера лоскута (Рис. 6).

Рис. 5. Цифровое фото. Разметка DIEP-лоскута и доминантного перфоранта питающей ножки в положении стоя (слева).
Рис. 6. Цифровое фото. Окончательная разметка DIEP – лоскута на операционном столе в положении лежа, с учетом натяжения кожи при закрытии донорского места поперечным линейным швом (справа).
Сосудистая анатомия DIEP лоскута. Глубокая нижняя эпигастральная артерия (DIEA) ответвляется от наружной подвздошной артерии напротив глубокой артерии, огибающей подвздошную кость. После выхода из-за латерального края прямой мышцы живота она входит в нее проходя впереди дугообразной линии посередине между лобком и пупком. Как правило, глубокая нижняя эпигастральная артерия делится на две большие ветви (иногда три) ниже уровня пупка, которые дают перфорантные сосуды к коже и мышечные ветви. Самые большие перфоранты (с диаметрами 0,6 мм) расположены в пределах 6 см. от пупка, в средней трети прямой мышцы. Оригинальный свободный перфорантный лоскут [18] базировался на одном параумбиликальном перфорантном сосуде, имел надфасциальный ход после выхода через фасцию передней прямой мышцы живота.
Хирургическая техника. Основополагающим принципом в формировании DIEP-лоскута является его центровка над определенными доминантными мышечными перфорантами, а не по срединной линии, как в случае с TRAM лоскутом. Конечные размеры, форма и положение лоскута определяются размером лоскута, который необходимо забрать, имея в виду, что перфоранты в нижней части живота после прохождения фасции прямой мышцы идут приемущественно краниально и латерально, чем объясняется плохое кровоснабжение наиболее удаленной от сосудистой ножки области (зона IV). Однако окончательный дизайн DIEP-лоскута должен быть симметричным по средней линии, чтобы облегчить эстетическое закрытие донорского места. В идеале следует выбирать самый медиальный, дистально расположенный перфорант с несколькими ответвлениями и большой сопровождающей веной. Этот тип перфоранта гарантирует, что наибольшее количество ответвлений включено в DIEP-лоскут и сокращает расстояние диссекции перфоранта до глубоких нижних эпигастральных сосудов. Если требуется большой лоскут, два или три перфоранта в одной плоскости перимизия могут быть сохранены для увеличения кровотока.
Диссекция сосудистой ножки DIEP- лоскута проводилась в три технических этапа: надфасциальный, внутримышечный и подмышечный. Наиболее сложным этапом являлась внутримышечная диссекция сосудистой ножки. Диссекция начиналась сбоку, на фланках, и продолжалась в медиальном направлении посредством диатермокоагуляции. Кожа и подкожный жир отделялись над фасцией наружной косой мышцы до боковой границы прямой мышцы живота. На этом этапе диссекция продолжалась более осторожно, так как происходила идентификация перфорантов. Легкая тракция лоскута позволяла обеспечить хорошую экспозицию сосудов (Рис. 7 и 8). При этом, не смотря на предварительную локацию доминантного перфоранта, применялся интраоперационный аудио допплер.

Рис. 7. Интраоперационное цифровое фото на этапе диссекции в подфасциальном пространстве и идентификация перфорантов. Легкая тракция лоскута острыми крючками позволяет обеспечить хорошую экспозицию сосудов (слева).
Рис. 8. Интраоперационное цифровое фото на этапе диссекции в подфасциальном пространстве, идентифицирован доминантный перфорант для формирования питающей ножки лоскута (справа).
Латеральный край прямой мышцы поднимался, используя инструменты, не повреждающие мышцу. Особое внимание уделялось тому, чтобы не повредить смешанные сегментные нервы, входящие в мышцу латерально. Между смешанными сегментарными нервами раскрывалась плоскость, расположенная позади прямой мышцы живота, обнажаются глубокие нижние эпигастральные сосуды. Боковые ветви основного ствола лигировались и диссекция продолжалась путем отведения мышцы прямой мышцы живота медиально до тех пор, пока проксимальная часть ножки полностью не освобождалась. Длина ножки может быть адаптирована исходя из условий в участках-реципиентах или формы лоскута (Рис. 9). После того как нижняя эпигастральная артерия и сопровождающие ее вены полностью выделялись от доминантного перфоранта до места их предпологаемого пересечения и подтверждалась вожможность адекватного кровоснабжения лоскута, все оставшиеся перфоранты лигировались, пупок освобождался, и весь кожный лоскут поднимался (Рис. 10) Свободный лоскут адаптировался в зоне реконструкции МЖ, где включался в кровоток путем наложения анастомозов с внутренней грудной артерией после ее обнажения и резекции проксимальной части IV ребра.

Рис. 9. Интраоперационное цифровое фото на этапе выделения лоскута и формирования его питающей ножки заданной длины для адаптации в реципиентной зоне. Сохранены два перфоранта (слева).
Рис. 10. Интраоперационное цифровое фото на этапе выделения лоскута и его подъема для переноса в зону реконструкции МЖ. (справа).
Результаты.
В клинике выполнен анализ 5 операций пластики DIEP лоскутом с целью реконструкции молочной железы у пяти женщин после односторонней радикальной мастэктомии. В 4 случаях лоскуты выжили, послеоперационный период протекал гладко, пациентки были выписаны с 5 по 12 сутки после операции. Этапные реконструкции с целью симметризации и формирования САК в отсроченном периоде прошли без особенностей. В 1 случае лоскут быт утрачен интраоперационно, в связи с техническими трудностями включения его в кровоток путем наложения анастомозов на внутреннюю грудную артерию. Нами зафиксирован тромбоз реципиентных сосудов фрагментами разрушенной интимы, что может быть связано с перенесенной в анамнезе лучевой терапией с фокусом на область грудины. Восстиановление МЖ у этой пациентки выполнено альтернативным методом с использованием транспозиционного кожно мышечного лоскута с включегнием широчайшей мышцы спины и силиконовым имплантом.
Клинический пример.
Пациент Г. 51 год. в связи с опухолью молочной железы была выполнена мастэктомия, пациентка получала лучевую и химиотерапию. После заживления послеоперационной раны сформировался грубый гипертрофический рубец с деформацией грудной клетки, асимметрия груди (Рис. 11-14). После установления стойкой ремиссия основного заболевания, направлена на этап восстановительного лечения.

Рис. 11. Цифровое фото, вид спереди. Пациентка с дефектом мягких тканей и асимметрией груди после мастэктомии, до операции. Рис. 11а. Цифровое фото после реконструкции правой МЖ DIEP лоскутом, формирования САК, симметризирующей мастопексии левой МЖ.

Рис. 12. Цифровое фото, вид полуоборот слева. Пациентка с дефектом мягких тканей и асимметрией груди после мастэктомии, до операции. Рис. 12а. Цифровое фото после реконструкции правой МЖ DIEP лоскутом, формирования САК, симметризирующей мастопексии левой МЖ.

Рис. 13. Цифровое фото, вид полуоборот справа. Пациентка с дефектом мягких тканей и асимметрией груди после мастэктомии, до операции. Рис. 13а. Цифровое фото после реконструкции правой МЖ DIEP лоскутом, формирования САК, симметризирующей мастопексии левой МЖ

Рис. 14. Цифровое фото, вид сбоку слева. Пациентка с дефектом мягких тканей и асимметрией груди после мастэктомии, до операции. Рис. 14а. Цифровое фото, после реконструкции правой МЖ DIEP лоскутом, формирования САК, симметризирующей мастопексии левой МЖ
Для устранения деформации грудной клетки и реконструкции правой МЖ выбран метод пластики DIEP – лоскутом. При формировании лоскута сохранены два перфоранта (Рис. 9). После мобилизации лоскут свободно перенесен в область груди, где после резекции медиального отдела IV ребра и обнажения сосудов, наложены микроанастомозы к внутренней грудной артерией и комитантной веной конец в конец. Следующим этапом лоскут был адаптирован и сконфигурирован для эмитации МЖ.
После ушивания прямой мышцы живота и ее апоневроза выполнена абдоминопластика с переносом пупка, что позволило первично зашить донорскую зону линейным швом. Спустя 4 суток пациентка была выписана на амбулаторное лечение. Послеоперационные раны зажили первичным натяжением. Через 5 месяцев пациентке была выполнена корректирующая симметризирующая операция на контрлатеральной груди – мастопексия, а также был сформирован сосок и выполнен татуаж САК на правой МЖ (Рис. 11а-14а).
Обсуждение.
Первыми лоскутами на ножке, которые успешно стали использоваться для реконструкции молочной железы стали лоскуты широчайшей мышцы спины. Однако они не обеспечивали достаточного объема и преимущественно использовались для покрытия имплантата, а перемещение больших по размерам комплексов тканей повышало вероятность частичного или полного некроза [16]. Кроме того такая реконструкция груди сопровождалась проблемами в донорской зоне. Hartrampf С. с соавт. предложили использовать поперечно ориентированные лоскуты на прямой мышце живота (TRAM-лоскут). Это позволило использовать существующий избыток ткани в нижней части брюшной стенки женщины для воссоздания груди и обеспечить более эстетический способ закрытия донорской зоны [15]. Лимитирующими факторами этого метода стали довольно частая ишемия перемещенных тканей, послеоперационный дискомфорт в брюшной полости, ослабление брюшной стенки, а также повышенные риски для пациенток, ранее перенесших операции на брюшной полости. Позднее, в связи с развитием и распространением микрососудистой техники реконструкция МЖ собственными тканями становится все более популярным вариантом [17,24]. Были описаны и используются методики пересадки свободных лоскутов на базе перфорантов поверхностной ягодичной и глубокой нижней эпигастральной артерии как альтернативы TRAM-лоскуту [6,10, 18]. Они, безусловно, сложнее технически, но имеют ряд преимуществ перед TRAM-лоскутом.
С тех пор, как лоскут на перфоранте глубокой нижней эпигастральной артерии (Deep Inferior Epigastric Perforator (DIEP-лоскут) был впервые описан Koshima I. и соавторами [18], как метод, который полностью сохраняет брюшную стенку, не нарушая функцию мышц, он зарекомендовал себя как надежный вариант в реконструктивной хирургии и с каждым годом становится все более популярным, причем не только для реконструкции МЖ, но также головы и шеи, пластике промежности [5,13]. К сожалению метод реконструкции МЖ свободным DIEP-лоскутом пока еще не нашел должного распространения в нашей стране, хирургами выполняются единичные случаи таких оперативных вмешательств. Как и в случае с методикой TRAM Flap, методика DIEP заканчивается проведением абдоминопластики («tummy tuck») – пластической операции в области передней стенки живота [10,17]. Ввиду того, что при методике пластики DIEP- лоскутом не проводится иссечения и мобилизации мышцы, восстановительный период протекает легче и быстрее. Кроме того, эта методика отличается меньшим риском в плане денервации и ослабления мышечного слоя передней брюшной стенки и меньшим дискомфортом [21]. Другим важным отличием методики DIEP от методики TRAM является способ кровоснабжения используемого лоскута ткани. DIEP лоскут полностью отделяется от подлежащих тканей и переносится в реципиентную зону. Для восстановления кровоснабжения свободного лоскута применяется микрохирургическая техника. Результаты исследований показали, что DIEP лоскут обеспечивает минимальное повреждение и быстрое восстановление брюшной стенки в сравнении с TRAM пластикой на ножке [21,24].
Заключение.
Реконструкция МЖ свободным лоскутом на перфоранте глубокой нижней эпигастральной артерии (DIEP flap) на сегодняшний день является методом приоритетного выбора для восстановления груди у женщин после радикальной мастэктомии. Данный вид операции позволяет не только восстановить утраченную МЖ, но и улучшить контуры туловища без повреждения каркаса брюшной стенки.
Несмотря на то, что глубокая нижняя эпигастральная артерия и ее перфоранты считаются относительно анатомически стабилными сосудами, авторы считают, что ключевой особенностью предоперационной подготовки является определение доминантного перфоранта с помощью КТ-ангиографии и допплера. Это дает точную информацию о размере и положении искомого перфорантного сосуда, его трехмерной структуре и разветвлении в тканях брюшной стенки.
Ключевые слова
Пластика, реконструкция молочной железы, лоскут, перфорантный лоскут, DIEP лоскут.
Key words:
Plastics, breast reconstruction, flap, perforator flap, DIEP flap,
Литература
- Бюлетень Національного канцер‑реєстру України / [І. Б. Щепотін, З. П. Федоренко, А. В. Гайсенко та ін.]. – 2011. — № 12. — 117с.
- Динамическая инфракрасная термография в планировании реконструктивных операций на нижних конечностях / [Н.А.Чередниченко, П.А.Бадюл, С.В.Слесаренко и др.] // Лучевая диагностика, лучевая терапия, 2017. – №4. – С. 54-58.
- Малыгин С.Е. Реконструктивно-пластические вмешательства при раке молочной железы. Новые стандарты и перспективы / С.Е. Малыгин , Е.Н. Малыгин, Н.Г. Рускова // Практическая онкология. 2010. – Т. 11, №4 – С.253-257.
- Слесаренко С.В. Предоперационная локация перфорантных артерий при помощи инфракрасной термографии/ С.В. Слесаренко, П.А. Бадюл, К.С. Слесаренко // Вопросы реконструктивной и пластической хирургии, 2016. – Т. 19, № 1 (56) .- С. 13-19.
- A clinical review of 9 years of free perforator flap breast reconstructions: an analysis of 675 flaps and the influence of new techniques on clinical practice / [R. Acosta, J. Smit, T. Audolfsson et al.]. // J Reconstr Microsurg. – 2011. – Vol.27. – P.91–98.
- Allen R.J. The superior gluteal artery perforator flap / R. Allen // Clin Plast Surg. – 1998. – Vol. 25. – P. 293–302.
- Badiul P.O. Multidetector-row Computed Tomographic Angiography in the Planning of the Local Perforator Flaps / Badiul P.O., Sliesarenko S.V. // Plastic and Reconstructive Surgery – Global Open: September 2015 – Volume 3 – Issue 9 – P. e516.
- Becker H. Breast Augmentation Using the Expander Mammary Prosthesis / H. Becker // Plast Reconstr Surg. – 1987 – Vol.79. – P.192-199.
- Birnbaum L. Breast reconstruction following radical mastectomy, using custom designed implants / L. Birnbaum, J. Olsen // Plast Reconstr Surg. – 1978. – Vol. 61. – P.355–363.
- Blondeel P.N. The sensate free superior gluteal artery perforator (S-GAP) flap: a valuable alternative in autologous breast reconstruction / P.N. Blondeel // Br J Plast Surg. – 1999. – Vol.52. – P. 185–193.
- Bostwick J. The latissimus dorsi musculocutaneous flap: a one-stage breast reconstruction. / Bostwick J., III, Schlefan M. Clin Plast Surg. – 1980. – Vol. 7. – P.71–78.
- Cronin T. Augmentation mammaplasty – a new natural feel prosthesis. / Cronin T, Gerow F. // Transactions of the third international congress of plastic surgeons. Amsterdam:Excerpta Medica. – 1964. – P.41–49.
- Extended deep inferior epigastric artery perforator flap for head and neck reconstruction: a clinical experience with 100 patients / [J. Masia, M. Sommario, D. Cervelli et. al] // Head Neck. – 2011. – Vol. 33. – P. 1328–1334.
- Gillies H. The Principles and Art of Plastic Surgery / H. Gillies, R. Millard. – Boston: Little Brown, 1957. – 690 p.
- Hartrampf C.R. Breast reconstruction with a transverse abdominal island flap / C.R. Hartrampf, M. Scheflan, P. Black // Plast Reconstr Surgery. – 1982. – Vol. 69. – P.216–225.
- Hokin J.A. Breast reconstruction without an implant: Results and complications using an extended latissimus dorsi flap /J. Hokin J., K. Silfverskiold //Plast Reconstr Surg. – 1987. – Vol. 79. – P. 58–66.
- Holmström H. The free abdominoplasty flap and its use in breast reconstruction / H. Holmström // Scand J Plast Reconstr Surg. – 1979. – Vol.13. – P. 423–427.
- Koshima I. Inferior epigastric artery skin flaps without rectus abdominis muscle / I. Koshima, S. Soeda // Br J Plast Surg. – 1989. – Vol. 42. – P. 645–648.
- MDCT- angiography preoperatively planning for lower extremity local perforator flaps reconstruction / Badiul P., Sliesarenko S., Sliesarenko K., Nor N., Cherednichenko N., Zotov S.// “Annals of Burns and Fire Disasters”. – Volume XXVIII, Supplement EBA, September 2015.- # 25.
- McCraw J.B. Clinical definition of independent myocutaneous vascular territories / J.B. McCraw, D.G. Dibbell, J.H. Carraway // Plast Reconstr Surg. – 1977. – Vol.60. – P. 341–352.
- Quality of Life and Patient-Reported Outcomes in Breast Cancer Survivors: A Multicenter Comparison of Four Abdominally Based Autologous Reconstruction Methods / [Macadam SA, Zhong T, Weichman K. et al.] // Plast. Reconstr. Surg. – 2016. – Vol. 137. – P.758-771.
- Radovan C. Breast reconstruction after mastectomy using the temporary expander / C. Radovan // Plast Reconstr Surg. – 1982. – Vol. 69. – P.195–208.
- Snyderman R.K. Reconstruction of the female breast following radical mastectomy / R.K. Snyderman, R.H. Guthrie // Plast Reconstr Surg. – 1971. – Vol. 47. – P.565–567.
- The free transverse rectus abdominis musculotaneous flap for breast reconstruction: one center’s experience with 211 consecutive cases / [Schusterman M.A., Kroll S.S., Miller M.J. et al.] Ann Plast Surg. – 1994. – Vol. 32. – P.234–241.
- http://www.ncru.inf.ua/publications/BULL_18/index.htm].
- 26. Adair F, Berg J, Joubert L, Robbins GF. Long-term followup of breast cancer patients: the 30-year report. Cancer. 1974 Apr;33(4):1145-50.,
- S. Agarwal, E.W. Nelson, J. P. Agarwal ,Local Recurrence of Breast Cancer 52 Years after Halsted Mastectomy: Is There a Role for More Aggressive Ipsilateral Surveillance? Case Rep Oncol Med. 2011; 2011: 107370.
- Nava M., Catanuto G., Pennati A. et al. (2009) Conservative Mastectomies. Aesth. Plast. Surg.,
33: 681–686.
- Lanitis S., Tekkis P.P., Sgourakis G. et al. (2010) Comparison of skin-sparing mastectomy versus
non-skin-sparing mastectomy for breast cancer: a meta-analysis of observational studies. Ann. Surg.,
251(4): 632–639.
- L.N.Heidemann, G.L.Gunnarsson, C.A.Salzberg, at al. Complications following Nipple-Sparing
Mastectomy and Immediate Acellular Dermal Matrix Implant-based Breast Reconstruction—A
Systematic Review and Meta-analysis. Plast Reconstr Surg Glob Open 2018;6:e1625). - Pirro, Ortensia et al. “Comparison of Patient-Reported Outcomes after Implant Versus Autologous Tissue Breast Reconstruction Using the BREAST-Q.” Plastic and Reconstructive Surgery Global Open 5.1 (2017): e1217. PMC. Web. 21 Jan. 2018.
- R.Sgarzani, L.Negosanti, P. G.Morselli, V. V.Michelina, L.M.Lapalorcia, R. Cipriani, Patient Satisfaction and Quality of Life in DIEAP Flap versus Implant Breast Reconstruction, Surgery Research and Practice, vol. 2015, Article ID 405163, 7 p.)


