Пластична реконструкція
великих дефектів шкіри голови:
аналіз власних спостережень
та огляд літератури
Кирпа І.Ю.1, Слесаренко С.В.2, Сірко А.Г.1, Бадюл П.О.2
Ukr Neurosurg J. 2020;26(3):57-64
doi: 10.25305/unj.204406
1 Відділення нейрохірургії №2, Дніпропетровська обласна клінічна лікарня імені І.І. Мечникова, Дніпро, Україна
2 Опікове відділення, Міська клінічна лікарня №2, Дніпро, Україна
Проведено порівняльний аналіз сучасних методик закриття великих дефектів шкіри голови за даними літератури. Особливу увагу приділено застосуванню вільного перфораційного клаптя при цих реконструктивних операціях. Проаналізовано 4 випадки власних клінічних спостережень реконструкції шкіри голови. Пацієнти були прооперовані у 2016‒2018 рр.
У двох пацієнтів мало місце травматичне ушкодження шкіри голови, ще у двох хворих первинно шкіра голови була уражена пухлинним процесом, і пацієнтів прооперували в іншому закладі. Після невдалої спроби усунути дефект шкіри голови хворі звернулися до нашої клініки. Серед пацієнтів було 3 жінки та 1 чоловік. Середній вік пацієнтів становив (45,7±1,3) року. В двох випадках застосовано антелатеральний клапоть стегна (ALT), в одному – клапоть найширшого м’яза спини, ще в одному – аксилярний шкірно- фаcціальний клапоть. У всіх пацієнтів як судини-реципієнти використовували поверхневу скроневу артерію та супутню вену. В усіх випадках накладали судинні мікроанастомози, у двох – застосовано апарати лікування ран від’ємним тиском. У 3 пацієнтів загоєння ран відбулося первинним натягом. В 1 випадку через зниження системної гемодінаміки у післяопераційний період спостерігали відторгнення пересадженого клаптя, що потребувало повторного хірургічного втручання. Середня тривалість післяопераційного періоду становила (14,2±1,2) дня. В усіх випадках отримано задовільний косметичний ефект.
Мікросудинна пересадка вільних клаптів є основою для лікування великих дефектів шкіри голови. Рекомендуємо використання антелатерального клаптя стегна з огляду на численні переваги методу ‒ надійність, безпечність, гарний косметичний ефект.
Ключові слова: дефект шкіри черепа; пластика; пересадка шкіри; локальний клапоть; вільний шкірний клапоть; мікрохірургія; лікування ран від’ємним тиском
Plastic reconstruction for extensive scalp defects: own observations analysis and literature review
Igor Y. Kyrpa1, Sergii V. Sliesarenko2, Andrii G. Sirko1, Pavlo O. Badiul2
1 Neurosurgery Department No. 2, Mechnikov Dnipropetrovsk Regional Clinical Hospital, Dnipro, Ukraine
2 Burn Department, City Clinical Hospital No. 2, Dnipro, Ukraine
The purpose of the study was to conduct a comparative review of literature on modern methods of closing extensive scalp defects. Special attention was paid to the use of a free perforator flap in such reconstructive surgeries. The analysis of our own series of clinical observations was also carried out.
We have described 4 cases of scalp reconstruction. Patients were operated in 2016–2018. Two patients had traumatic scalp damage and two others had primary scalp tumors; the patients were operated in another institution and were only delivered to our clinic due to failure to remove scalp defect. The average patient age was 45.7±1.3. There were 3 women and 1 man. In two cases, the anterolateral thigh (ALT) flap was used; in one case, latissimus dorsi muscle flap; in one case, axillary fasciocutaneous flap. Superficial temporal artery and an accompanying vein were used as recipient vessels in all patients. In all cases, vascular microanastomoses were applied and in 2 cases, negative pressure wound healing devices were used.
In 3 patients, the primary intention ensured wound healing. In 1 patient, a transplanted flap was rejected postoperatively due to dropped systemic hemodynamics, which required reoperation. The average postoperative period was 14.2±1.2 days. In all cases, a satisfactory cosmetic effect was achieved.
Microvascular free flap grafting is the basis for extensive scalp defects treatment. We recommend using the anterolateral thigh flap given the numerous advantages of the method, including reliability, safety, and positive cosmetic effect.
Keywords: scalp defect; plastic surgery; skin graft; local flap; free skin flap; microsurgery; negative pressure wound treatment
Пластическая реконструкция крупных дефектов кожи головы: анализ собственных наблюдений и обзор литературы
Кирпа И.Ю.1, Слесаренко С.В.2, Сирко А.Г.1, Бадюл П.О.2
1 Отделение нейрохирургии №2, Днепропетровская областная
клиническая больница имени И.И. Мечникова, Днепр, Украина
2 Ожоговое отделение, Городская клиническая больница №2, Днепр, Украина
Проведен сравнительный анализ современных методик закрытия больших дефектов кожи головы по данным литературы. Особое внимание уделено применению свободного перфорационного лоскута при этих реконструктивных операциях. Проанализированы 4 случая собственных клинических наблюдений реконструкции кожи головы. Пациенты были прооперированы в 2016‒2018 гг. У двух пациентов имело место травматическое повреждение кожи головы, еще у двух больных первично кожа головы была поражена опухолевым процессом, и пациентов прооперировали в другом учреждении. После неудачной попытки устранить дефект кожи головы больные обратились в нашу клинику. Среди пациентов было 3 женщины и 1 мужчина. Средний возраст пациентов составил (45,7±1,3) года. В двух случаях применен антелатеральный лоскут бедра (ALT), в одном – лоскут широчайшей мышцы спины, еще в одном – аксиллярный кожно- фациальный лоскут. У всех пациентов как сосуды-реципиенты использовали поверхностную височную артерию и сопутствующую вену. Во всех случаях накладывали сосудистые микроанастомозы, в двух – применены аппараты лечения ран отрицательным давлением. У 3 пациентов заживление ран произошло первичным натяжением. В 1 случае из-за снижения системной гемодинамики в послеоперационный период наблюдали отторжение пересаженного лоскута, что потребовало повторного хирургического вмешательства. Средняя продолжительность послеоперационного периода составила (14,2±1,2) дня. Во всех случаях получен удовлетворительный косметический эффект.
Микрососудистая пересадка свободных лоскутов является основой для лечения обширных дефектов кожи головы. Рекомендуем использовать антелатеральный лоскут бедра, учитывая многочисленные преимущества метода ‒ надежность, безопасность, хороший косметический эффект.
Ключевые слова: дефект кожи черепа; пластика; пересадка кожи; локальный лоскут; свободный кожный лоскут; микрохирургия; лечение ран отрицательным давлением
Дефекти шкіри волосистої частини голови виникають унаслідок травми, інфекції, опромінення, онкологічних процесів, нападу тварин [1‒4]. У світовій літературі описано багато варіантів реконструктивних
оперативних втручань з приводу дефектів шкіри голови [5,6]. Зокрема для невеликих дефектів рекомендовано використовувати первинне їх закриття. Якщо закриття рани первинним швом неможливе, то застосовують інші методи реконструкції шкірного покриву та м’яких тканин з використанням місцевих, регіональних або віддалених донорських ресурсів тканин [4‒6]: переміщення шкірних клаптів на живлячій ніжці, експандерну дермотензію, пересадку розщепленого шкірного графта, етапну пластику стеблиною та вільну пересадку комплексів тканин із застосуванням мікрохірургічної техніки. Вибір оптимального методу пластики від простого (з низьким ризиком післяопераційних ускладнень) до складного (з високим ризиком ускладнень) здійснюють за принципом «реконструктивних щаблів» (Рис. 1) [7].

Рис. 1. Алгоритм вибору способу пластики за принципом «реконструктивних щаблів»
Застосування вільних клаптів ‒ пріоритетний спосіб лікування великих дефектів шкіри голови у тих випадках, коли місцеві або регіональні тканини неможна використати для формування клаптів через
порушення життєздатності оточуючих тканин унаслідок застосування променевої терапії, остеорадіонекроз, тяжкі травми із залишковим рубцюванням, остеомієліт кісток склепіння черепа [2,5,7].
У літературі описано багато варіантів регіональних і вільних клаптів для реконструкції шкіри голови, зокрема найширший м’яз спини (latissimus dorsi), прямий м’яз живота (rectus abdominis), передній драбинчастий м’яз, сальник, променева частина передпліччя та передньобічна частина стегна [8]. Кожен із цих клаптів має як переваги, так і недоліки.
Сальник ‒ перший вільний клапоть, який почали застосовувати при реконструкції шкіри голови [9].
Велика площа його поверхні забезпечує перевагу у разі реконструкції великих дефектів шкіри голови. Однак
необхідність лапаротомії для забору та вторинні ускладнення після неї (спайкова хвороба, вентральна грижа)
значно обмежили використання цього методу [10].
Найширший м’яз спини може також бути донором при реконструкції дефектів волосистої частини голови
через велику площу поверхні та довгу судинну ніжку [11,12]. Однак недоліками цього варіанта клаптя є
необхідність перекладання пацієнта під час оперативного втручання, неприродний вигляд клаптя на голові, можливі ускладнення, зокрема серома, велика рана в донорській ділянці, необхідність пожертвувати
функціональною мускулатурою [13].
Основне обмеження клаптя із переднього зубчастого м’яза ‒ його розмір. Про комбіноване використання найширшого м’яза спини та переднього зубчастого м’яза повідомлено при заміщенні великих
дефектів шкіри [14–16]. Можливе використання переднього зубчастого м’яза разом із ребрами при
одночасному заміщенні дефекту черепа та шкіри [16].
Прямий м’яз живота, або м’язово-шкірний клапоть, раніше використовували при дефектах шкіри голови
середнього розміру. До недоліків його застосування належать дуже товстий шкірний шар тканин (bulky
flap), який потребує етапного дебалкінгу, та відсутність адекватної гармонії кольору зі шкірою голови [17,18]. Також повідомлено про послаблення функції передньої черевної стінки або утворення грижі при використанні цього м’язового клаптя [19].
Клапоть з променевої частини передпліччя має тонку гнучку шкіру і зазвичай є гарним варіантом для
реконструкції шкіри голови. Основні недоліки цього клаптя: жертвування великою артерією верхньої
кінцівки, ушкодження передпліччя та обмежений розмір донорської зони і, відповідно, самого клаптя [20].
Найоптимальніший варіант реконструкції поширеного дефекту волосистої частини голови ‒ передньобічний стегновий вільний клапоть, або антелатеральний (anterolateral thigh flap (ALT)) [6,21,22]. Донорська зона може бути відносно великого розміру. Її можна використати для одномоментного закриття великого шкірного дефекту та дефекту м’яких тканин голови. Донорська ділянка ALT-клаптя розташована в естетично бажаному регіоні, який можна легко зашити лінійним швом, а у разі пересадки шкірного трансплантата ‒ приховано одягом [22‒25]. Крім того, ALT-клапоть мобілізують у надфасціальному шарі (Рис. 2), тому ще однією перевагою цього методу пластики є те, що субфасціальні структури та магістральні судини
не ушкоджуються [5,6,22]. Варіант формування клаптя в межах поверхневої фасції дає змогу сформувати тонкий клапоть, який забезпечить мінімальну морбідність у донорській зоні, та відтворити нормальний контур голови в реципієнтній зоні без додаткових коригувальних втручань.

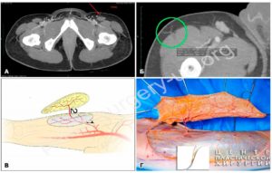
Рис. 2. Надфасціальний шкірний ALT-клапоть з формуванням живлячої ніжки на основі перфорантної артерії. Методика забору: А – комп’ютерно-томографічне дослідження з ангіографією перфорантів передньої
поверхні стегна, які можуть бути використані як живляча ніжка острівцевого клаптя; Б – комп’ютернотомографічне дослідження з ангіографією перфорантів передньої поверхні стегна, зеленим колом обведено обраний домінантний перфорант для живлячої ніжки ALT-клаптя; В – схема забору ALT-клаптя на передній поверхні стегна (1 – низхідна гілка латеральної артерії, котра огинає стегнову кістку; 2 – шкірний перфорант низхідної гілки, котра формує живлячу ніжку ALT-клаптя); Г – інтраопераційне фото
Наводимо власні результати застосування комбінованих способів пластичної реконструкції у 4 пацієнтів з великими дефектами шкіри волосяної частини голови різного генезу. В усіх випадках отримано
письмову згоду пацієнтів на оприлюднення фото та перебігу лікування.
Клінічний випадок №1
Пацієнтка У., 52 роки, потрапила у дорожньо-транспортну пригоду 15.11.2016 р. у Російській Федерації. Пацієнтка не надала будь-яку медичну документацію після проходження курсу лікування
в сусідній країні. До Дніпропетровської обласної клінічної лікарні імені І.І. Мечникова звернулася через
2 міс після отримання травми.
На момент огляду: ясна свідомість, рухи в кінцівках збережені, рухових і мовних порушень не виявлено. Відзначено загальний післятравматичний дефект шкіри та м’яких тканин голови. Дно рани – оголена кістка без окістя, по краях залишків шкіри визначається грануляційна тканина. Ознак запалення не виявлено (Рис. 3).

Рис. 3. Вигляд великої скальпованої рани голови з оголенням кісток склепіння черепа при госпіталізації в
клініку: А ‒ бічна проекція; Б ‒ фронтальна проекція
Хвору переведено до Центру термічної травми та пластичної хірургії. Проведено етапне хірургічне
лікування: 13.02.2017 р. ‒ пластику дефекту шкіри голови вільним клаптем найширшого м’яза спини. У післяопераційний період виникло ускладнення у вигляді кровотечі на донорському місці з утворенням гематоми та епізодом зниження гемодинаміки до 60/20 мм рт. ст. Унаслідок цього ускладнення виникла
втрата частини клаптя. Підготовка ранового ложа з грануляціями за допомогою фрезування зовнішньої
пластинки черепа та NPWT-терапії (negative-pressure wound therapy – лікування ран від’ємним тиском).
13.04.2017 р. ‒ етапна автодермопластика розщепленим трансплантатом;
31.05.2017 р. ‒ етапна автодермопластика розщепленим трансплантатом.
Період після етапних автодермопластик перебігав без ускладнень, але регенеративні процеси були сповільнені. Пацієнтку виписано зі стаціонару після повного загоєння всіх ран 7.06.2017 р. Таким
чином, загальна тривалість лікування становила 4 міс. Шкірний покрив у ділянці волосистої частини голови
відновлено (Рис. 4).

Рис. 4. Вигляд рани склепіння черепа після повного відновлення шкірного покриву: А ‒ фронтальна
проекція; Б ‒ бічна проекція
Клінічний випадок №2
Пацієнт К., 82 роки. За 1,5 року до госпіталізації в Центр термічної травми та пластичної хірургії пацієнта прооперовано з приводу карциноми волосяної частини голови. Утворився дефект шкіри діаметром до
12 см. Лікарі, котрі прооперували хворого, впродовж 18 міс намагалися досягти загоєння рани консервативно за допомогою пов’язок. Бажаного ефекту не було досягнуто, тому пацієнт самостійно звернувся
до Центру термічної травми та пластичної хірургії.
Під час огляду: рана з краями, які гранулюють, на дні рани відзначаються кістки склепіння черепа з елементами секвестрації та серозно-гнійним виділенням з рани (Рис. 5А).
Виконано оперативне втручання: ревізію рани з остеосеквестректомією і пластику шкіри. Рану закрито аксилярним шкірно-фасціальним клаптем з живленням на ніжці від поверхневої скроневої артерії у комбінації з пересадкою розщепленого трансплантата завтовшки 0,25 мм. Післяопераційний період перебігав без ускладнень, хворого виписано за 2 тиж з одужанням. Під час огляду через 6 тиж: ран немає, зона алопеції у ділянці трансплантата не турбує пацієнта в естетичному аспекті (Рис. 5Б).

Рис. 5. Етапи лікування великої скальпованої рани голови з оголенням кісток склепіння черепа: А – вигляд рани на момент госпіталізації в клініку; Б – вигляд рани склепіння черепа після повного відновлення шкірного покриву (через 8 міс після виписки)
Клінічний випадок №3
Пацієнтка І., 23 роки, госпіталізована в Центр термічної травми та пластичної хірургії 28.11.2017 р.
з діагнозом «Велика скальпована рана склепіння черепа. Стан після реплантації клаптя скальпа».
Анамнез: травма промислового характеру (волосся намоталося на вал механізму з відривом шкіри) 22.11. 2017 р. У центральній районній лікарні виконано операцію: реплантацію скальпа, первинну хірургічну обробку рани. При госпіталізації 28.11.2017 місцево: рана розміром 15×20 см з ділянками некрозу шкіри скальпа. Після ревізії рани виявлено передлежання кісток склепіння черепа в рану, кістки без окістя, сухі. Виділень немає.
20.12.2017 р. у клініці виконано операцію в обсязі: некректомія, остеонекректомія, пересадка автологічних розщеплених трансплантатів шкіри (0,3 мм) з лівого стегна. Для оптимізації неоангіогенезу для приживлення трансплантатів шкіри і формування грануляцій з кісткової тканини встановлено систему з NPWT 110 мм рт. ст. (Рис. 6А). Спостерігали приживлення трансплантатів шкіри і повне закриття великої рані склепіння черепа (Рис. 6Б).

Рис. 6. Етапи закриття великої рани склепіння черепа: А ‒ після оперативного лікування із встановленою системою з NPWT; 6Б ‒ результат лікування пацієнтки через 12 міс
Клінічний випадок №4
Пацієнтка Д, 45 років, госпіталізована в листопаді 2017 р. з діагнозом «Рана склепіння черепа, яка
тривалий час не загоюється, з грануляціями».
З анамнезу відомо, що пацієнтці видалено пухлину лобової кістки в іншій області України (жовтень 2016 р.) і виконано пластику дефекту черепа титановою пластиною. Після операції застосовано дистанційну
променеву терапію на місце видаленої пухлини. Рана не гоїлася. Двічі виконано пластику дермотензійним
розтягнутим клаптем, але безрезультативно (Рис. 7А). Для закриття ранового дефекту пацієнтку направлено
в Центр термічної травми та пластичної хірургії.
Проведено ревізію рани, видалення інфікованої пластини, залишків попереднього клаптя, остеосеквестректомію. Операцію завершено пластикою вільним перфорантним ALT-клаптем із залученням
його в кровоток реципієнтної зони до басейну скроневої артерії та її комітантної вени (Рис. 7Б).
Післяопераційний період ‒ без особливостей, шви знято на 12-ту добу. Первинне загоєння рани. Огляд
через 12 міс: рецидивів пухлини немає, шкірний покрив відновлено повністю, він є еластичним та суттєво не відрізняється за коліром і товщиною від оточуючих тканин (Рис. 7В). Паціентка задоволена відновленим шкірним покривом, який стабільний при термічних і механічних навантаженнях.

Рис. 7. Етапи пластики великого шкірного дефекту волосистої частини голови: А ‒ вигляд великої
(10×10 см) рани при госпіталізації в клініку. В рану передлежить металева пластина з вільним простором під нею. У верхньому куті рани залишки останнього пересадженого клаптя; Б ‒ вигляд рани на 3-тю добу після реконструктивной пластики ранового дефекту вільним ALT-клаптем; В ‒ вигляд рани через 12 міс після реконструктивної пластики ранового дефекту вільним ALT-клаптем. Пересаджений клапоть не потребує додаткових коригувальних втручань.
При виборі методу реконструкції шкіри голови вторинне загоєння використовують вкрай рідко.
Переважно обирають один із методів первинного закриття дефектів шкіри голови із застосуванням алгоритму «реконструктивних щаблів». Для малих дефектів ‒ первинний шов. Для середніх та великих дефектів, коли первинне закриття рани неможливе, пересадка клаптя є пріоритетним методом закриття рани. Однак такий підхід має певні недоліки: зміна кольору шкіри, нерівності контуру голови і алопеція
[25]. Для усунення цих недоліків збільшення площі тканин за допомогою експандерів є адекватним варіантом і дає змогу відновити шкіру голови з волоссям. Дефекти розміром до 50% загальної поверхні шкіри голови можуть бути закриті за допомогою цієї методики [26]. Проте збільшення площі тканин є операцією вибору, коли достатньою є площа шкіри поблизу дефекту, не ушкоджена раніше [2,20,21]. Для пацієнтів, яким не підходить розширення тканин, але потрібне швидке закриття рани, місцевий клапоть є надійними варіантом. Ці клапті універсальні та легко переміщуються. Через нееластичність шкіри волосистої частини голови лише невеликі дефекти шкіри голови можна закрити місцевими клаптями. У випадках, коли тканина шкіри голови не придатна для використання як локальний клапоть, застосовують регіональні клапті. Основними регіональними клаптями, котрі використовують у реконструкції шкіри голови, є найширший м’яз спини, великий грудний м’яз, трапецієподібні, скроневі та скронево-парієтальні клапті. Головна проблема, пов’язана з використанням регіональних клаптів, ‒ обмежена дуга їх обертання, тому ці клапті застосовують лише для закриття периферичних дефектів шкіри голови.
Пересадка вільних клаптів ‒ єдиний хірургічний варіант, якщо дефект занадто великий і його не можна закрити регіональними клаптями, дефект і донорська зона для забору клаптя змінені внаслідок застосування попередньо променевої терапії або невдалої хірургічної спроби. Серед описаних у літературі вільних клаптів найоптимальнішим за розмірами, товщиною тканин, довжиною живлячої ніжки, анатомічною стабільністю і технічним виконанням є перфорантний ALT-клапоть [4‒6]. Досить великий ALT-клапоть (до 35×25 см) може надійно базуватися на одному домінуючому перфоранті [26]. Незважаючи на змінену судинну анатомію, багато хірургів згодні з тим, що ALT-клапоть ‒ це пластичний ресурс для ефективного закриття великих дефектів м’яких тканин у будь-якій ділянці тіла, який найбільше адаптується.
Правильний вибір матеріалу для закриття великих дефектів волосистої частини шкіри – запорука гарного косметичного та функціонального результату. Автотрансплантація шкіри потребує правильного використання сучасних діагностичних (комп’ютерна томографія з ангіографією, сонографія) та хірургічних
методик (накладання судинних мікроанастомозів під хірургічним мікроскопом, застосування апаратів лікування ран від’ємним тиском), а також правильного ведення пацієнта і ран для запобігання втраті пересадженого клаптя та поліпшення репаративних процесів.
Розкриття інформації
Конфлікт інтересів
Автори заявляють про відсутність конфлікту інтересів.
Етичні норми
Всі процедури, виконані пацієнтам в ході дослідження, відповідають етичним стандартам інституційного і національного комітетів з етики та Гельсінській декларації 1964 року і її пізнішим поправкам або аналогічним етичним стандартам.
Інформована згода
Від кожного з пацієнтів отримана інформована згода.
Фінансування
Дослідження не мало спонсорської підтримки.
References
1. Lutz BS, Wei FC, Chen HC, Lin CH, Wei CY. Reconstruction of scalp defects with free flaps in 30 cases. Br J Plast Surg. 1998 Apr;51(3):186-90. doi: 10.1054/bjps.1997.0182. PMID: 9664876.
2. Sliesarenko SV, Nor NM, Tsigankov KV, Badul PA. [The case of patient treatment with extraskeletal osteosarcoma of the hairy part of the head]. Plastic, Reconstructive and Aesthetic Surgery. 2019;(1-2):40-46. Ukrainian. https://uapras.org/wp-content/uploads/2019/06/PlasticRAS_1-2_2019-02-1.pdf
3. Turko A, Fuzaylov G, Savchyn V, Driscoll D. Immediate and early tissue expander placement for acute closure of scalp wounds. Ann Plast Surg. 2013 Aug;71(2):160-5. doi: 10.1097/ SAP.0b013e3182933e05. PMID: 23838756.
4. Buchanan PJ, Kung TA, Cederna PS. Evidence-based medicine: Wound closure. Plast Reconstr Surg. 2014 Dec;134(6):1391-404. doi: 10.1097/PRS.0000000000000720. PMID: 25415102.
5. Slesarenko SV, Badyul PA, Baranov IV, Slesarenko KS. [Plastic restoration for skin and soft tissues defects in victims after dogs attacks]. Surgery of Ukraine. 2010;(3):34-40. Russian. https://www.elibrary.ru/item.asp?id=21409377
6. Sliesarenko SV, Badyul PA, Sliesarenko KS. [The algorithm of wound defects plastic reconstruction]. Plastic, Reconstructive and Aesthetic Surgery. 2015;(1-2):6-22. Ukrainian. https://uapras.org/wp-content/uploads/2017/09/Plastichnarekonstruktivna-i-estetichna-hirurgiya-ZHurnal-2015.-1-2.pdf
7. Hultman CS, Carlson GW, Losken A, Jones G, Culbertson J, Mackay G, Bostwick J 3rd, Jurkiewicz MJ. Utility of the omentum in the reconstruction of complex extraperitoneal wounds and defects: donor-site complications in 135 patients from 1975 to 2000. Ann Surg. 2002 Jun;235(6):782-95. doi: 10.1097/00000658-200206000-00005. PMID: 12035034; PMCID: PMC1422507.
8. Lin PY, Miguel R, Chew KY, Kuo YR, Yang JC. The role of the anterolateral thigh flap in complex defects of the scalp and cranium. Microsurgery. 2014 Jan;34(1):14-9. doi: 10.1002/micr.22103. PMID: 23640870.
9. Weitz J, Spaas C, Wolff KD, Meyer B, Shiban E, Ritschl LM. A Standard Algorithm for Reconstruction of Scalp Defects With Simultaneous Free Flaps in an Interdisciplinary Two-Team Approach. Front Oncol. 2019 Oct 25;9:1130. doi: 10.3389/fonc.2019.01130. PMID: 31709189; PMCID: PMC6823187.
10. Blondeel PN, Morris SF, Hallock GG, Neligan PC, editors. Perforator flaps: anatomy, technique, & clinical applications.St. Louis: CRC Press, 2013
11. Furnas H, Lineaweaver WC, Alpert BS, Buncke HJ. Scalp reconstruction by microvascular free tissue transfer. Ann Plast Surg. 1990 May;24(5):431-44. doi: 10.1097/00000637-199005000-00007. PMID: 2350153.
12. Herrera F, Buntic R , Brook s D, Buncke G, Antony AK. Microvascular approach to scalp replantation and reconstruction: a thirty-six year experience. Microsurgery. 2012 Nov;32(8):591-7. doi: 10.1002/micr.22037. PMID:
22903467.
13. McCombe D, Donato R, Hofer SO, Morrison W. Free flaps in the treatment of locally advanced malignancy of the scalp and forehead. Ann Plast Surg. 2002 Jun;48(6):600-6. doi: 10.1097/00000637-200206000-00006. Erratum in: Ann Plast Surg 2002 Aug;49(2):225. Hofer S [corrected to Hofer SOP].
PMID: 12055428.
14. Harii K, Yamada A, Ishihara K, Miki Y, Itoh M. A free transfer of both latissimus dorsi and serratus anterior flaps with thoracodorsal vessel anastomoses. Plast Reconstr Surg. 1982 Nov;70(5):620-9. doi: 10.1097/00006534198211000-00019. PMID: 7122753.
15. Trignano E, Fallico N, Nitto A, Chen HC. The treatment of composite defect of bone and soft tissues with a combined latissimus dorsi and serratus anterior and rib free flap. Microsurgery. 2013 Mar;33(3):173-83. doi: 10.1002/micr.22067. Epub 2013 Feb 25. PMID: 23436310.
16. Serra MP, Longhi P, Carminati M, Righi B, Robotti E. Microsurgical scalp and skull reconstruction using a combined flap composed of serratus anterior myo-osseous flap and latissimus dorsi myocutaneous flap. J Plast Reconstr Aesthet Surg. 2007;60(10):1158-61. doi: 10.1016/j.bjps.2006.06.020. PMID: 17825780.
17. Oh SJ, Lee J, Cha J, Jeon MK, Koh SH, Chung CH. Free-flap reconstruction of the scalp: donor selection and outcome. J Craniofac Surg. 2011 May;22(3):974-7. doi: 10.1097/SCS.0b013e31820fe354. PMID: 21558908.
18. Dulin WA, Avila RA, Verheyden CN, Grossman L. Evaluation of abdominal wall strength after TRAM flap surgery. Plast Reconstr Surg. 2004 May;113(6):1662-5; discussion 1666-7. doi: 10.1097/01.prs.0000117197.77201.14. PMID: 15114126.
19. Kobienia BJ, Migliori M, Schubert W. Preexpanded radial forearm free flap to the scalp. Ann Plast Surg. 1996
Dec;37(6):629-32. doi: 10.1097/00000637-199612000-00010. PMID: 8988776.
20. Bo B, Qun Y, Zheming P, Haitao X, Tianyi L. Reconstruction scalp defects after malignant tumor resection with anterolateral thigh flaps. J Craniofac Surg. 2011 Nov;22(6):2208-11. doi: 10.1097/SCS.0b013e318231fdb2. PMID: 22075833.
21. Fowler NM, Futran ND. Achievements in scalp reconstruction. Curr Opin Otolaryngol Head Neck Surg. 2014 Apr;22(2):127-30. doi: 10.1097/MOO.0000000000000028. PMID: 24504223.
22. Badiul PO, Sliesarenko SV. [Reconstruction of extensive soft tissue defects with the perforator anterolateral thigh flap]. Surgery of Ukraine. 2017;(3):12-19. Russian. http://nbuv.gov.ua/UJRN/KhU_2017_3_4
23. Blondeel PN, Van Landuyt KH, Monstrey SJ, Hamdi M, Matton GE, Allen R J, Dupin C, Feller AM, Koshima I, Kostakoglu N, Wei FC. The “Gent” consensus on perforator flap terminology: preliminary definitions. Plast Reconstr Surg. 2003 Oct;112(5):1378-83; quiz 1383, 1516; discussion 1384-7. doi: 10.1097/01.PRS.0000081071.83805.B6. PMID:14504524.
24. Tutela JP, Banta JC, Boyd TG, Kelishadi SS, Chowdhry S, Little JA. Scalp reconstruction: a review of the literature and a unique case of total craniectomy in an adult with osteomyelitis of the skull. Eplasty. 2014 Jul 19;14:e27. PMID: 25165496; PMCID: PMC4106256.
25. Kesting MR, Koerdt S, Rommel N, Mücke T, Wolff KD, Nobis CP, Ringel F, Frohwitter G. Classification of orbital
exenteration and reconstruction. J Craniomaxillofac Surg. 2017 Apr;45(4):467-473. doi: 10.1016/j.jcms.2017.01.003. PMID: 28185781.
26. Lin SJ, Hanasono MM, Skoracki RJ. Scalp and calvarial reconstruction. Semin Plast Surg. 2008 Nov;22(4):281-93. doi: 10.1055/s-0028-1095887. PMID: 20567704; PMCID: PMC2884877.


